A sudden toothache in the middle of the night. A broken tooth from a weekend game. A child’s knocked-out tooth after a fall. These moments are stressful, and the first thought that comes to mind is, “Where can I find help right now?”
That’s where an emergency dentist in Houston, TX makes all the difference. Quick action can alleviate the pain, save your tooth, and prevent further damage to your smile.
At Charm Dental Care, our trusted team offers same-day appointments and compassionate emergency dental services in Houston, providing families with peace of mind when it matters most.
Key Takeaways
- Act fast in dental emergencies to save teeth and stop pain.
- Simple steps like rinsing, cold compress, and saving teeth help until care.
- Houston families can access 24/7, walk-in, and same-day dentists.
- Charm Dental offers trusted, family-friendly emergency care.
- Insurance, payment plans, and memberships make treatment affordable.
- Regular checkups and mouthguards help prevent future emergencies.
Table of Contents
Understanding Dental Emergencies

A dental emergency is any problem with your teeth or gums that requires immediate attention. This could be sudden tooth pain, visible damage, or swelling that makes it hard to eat, sleep, or focus.
Why Immediate Action Is Important?
Dental problems don’t heal on their own. Receiving urgent dental care in Houston promptly can alleviate pain, prevent infections from spreading, and often save a tooth that might otherwise be lost. Acting fast also prevents small problems from becoming bigger, more costly issues.
Want to know how dentists handle urgent cases? Take a look at what can be done during a dental emergency.

What are the Common Types of Dental Emergencies in Houston?

Dental emergencies come in many forms, and each one requires prompt action to prevent the pain from worsening. If you ever face a dental emergency in Houston, knowing what to do before reaching the dentist can make all the difference.
1. Severe Toothache
A sudden, throbbing toothache is often a sign of a serious underlying issue.
- Possible causes: tooth decay, nerve infection, or an abscess.
- When to seek care: If pain persists for more than a day or is accompanied by swelling, it’s time to see a dentist for a toothache emergency in Houston.
See what else can be done during a dental emergency.
2. Broken or Chipped Tooth
Sports injuries, accidents, or biting hard foods can leave a tooth cracked or chipped.
- What to do: rinse your mouth gently and save any pieces if possible. Avoid chewing on that side until your appointment.
- Quick treatment for a broken tooth emergency in Houston or a chipped tooth emergency in Houston can restore your smile and prevent infection.
3. Knocked-Out Tooth
A knocked-out tooth is one of the most urgent dental emergencies.
- Steps to take: pick it up by the crown, rinse gently, and place it back in the socket if possible. If not, keep it in milk or saline.
- Time is critical — Contact us immediately to find a trusted dentist for knocked-out teeth in Houston.
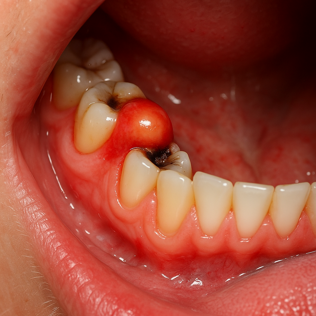
4. Dental Abscess
An abscess is a severe infection that can spread rapidly without proper care.
- Symptoms: swelling in the face or gums, pus, fever, and strong pain.
- Why urgent care matters: a dental abscess emergency in Houston should be treated immediately to stop the infection from spreading.
Also Read– A Comprehensive Guide to Tooth Abscess: Types, Causes, Symptoms, & Treatments
5. Lost Fillings or Crowns
Losing a filling or crown can leave a tooth sensitive and unprotected.
- Temporary fix: cover the tooth with dental wax or sugar-free gum until you can see the dentist.
- Treating this cosmetic dental emergency in Houston quickly protects the tooth and restores comfort.
@charmdentalcare Is your smile in distress? 😬 Don’t worry, Charm Dental is here to rescue you! Whether it’s a check-up or a quick fix, we’ve got your smile covered. Let us help you shine bright again! ✨ #SmileRescue #CharmDental #smile #dentalfield #dentist #dentalassistant #smilemakeover #funny #viral
♬ original sound – Charm Dental | Houston Dentist
Immediate Steps You Should Take
When a dental emergency happens, what you do in the first few minutes can make a big difference.
Here are some simple steps to follow before you reach a clinic for immediate dental care in Houston, TX:
- Rinse With Warm Salt Water
Gently clean the affected area to reduce bacteria and alleviate irritation. - Use A Cold Compress
Apply it on the outside of your cheek to control swelling and relieve pain. - Save Knocked-Out Teeth Properly
Place the tooth in milk or saline solution to keep it moist until you see the dentist. - Manage Pain Carefully
Over-the-counter medicine can help, but avoid putting aspirin directly on the gums as it may cause burns.
Dental issues don’t wait for weekdays. Here’s what to know about weekend dental emergencies in Houston.
Finding an Emergency Dentist in Houston
During a dental emergency, receiving care promptly is crucial. Families searching for an emergency dentist in Houston, TX have several options, and knowing them ahead of time can ease the stress when urgent problems happen.
- 24/7 Dental Clinics In Houston
Some clinics stay open around the clock, offering access to a 24-hour dentist in Houston for severe pain, injuries, or infections that can’t wait until morning. - Walk-In Emergency Dentist Options
For patients who need immediate assistance, walk-in clinics provide treatment without the need for an appointment. This is especially helpful for sudden toothaches, broken teeth, or swelling. - Same-Day And After-Hours Appointments
At Charm Dental, we know emergencies don’t follow office hours. That’s why we offer same-day scheduling and after-hours support across our locations in Spring, Katy, Richmond, and Humble. Parents appreciate not having to wait in pain. - Affordable Care With Flexible Payments
We provide flexible membership options for families without insurance.
Our membership plans offer reduced rates on emergency visits and routine care, making it easier for patients to manage their costs. You can also explore our special offers for added savings on urgent and preventive treatments.
Still wondering about weekend availability? Learn more in this blog on dentists accepting emergency appointments on weekends.
Pediatric Dental Emergencies in Houston

Children are full of energy, and sometimes that leads to accidents involving their teeth. A pediatric dental emergency in Houston may include a knocked-out baby tooth, sports injuries, or sudden tooth pain. Receiving timely care is crucial for protecting developing smiles and preventing long-term dental issues.
At Charm Dental Care, we understand how stressful dental emergencies can be for both children and their parents. That’s why our clinics are designed with a welcoming, child-friendly environment. You can also explore our Smile Gallery to see how we help children feel comfortable during their visits.
Our pediatric team includes Dr. Radhika Shah, recognized for her gentle approach with young patients. Families across Houston trust our team to handle emergencies with patience, compassion, and the right expertise.
@charmdentalcare Still waiting for you here at Charm Dental! #funny #dentalcare #dentist #dentalassistant #dentallife
♬ original sound – Charm Dental | Houston Dentist

How to Prevent Future Dental Emergencies?
While not every accident can be avoided, many dental emergencies can be reduced with the right care and habits. Visiting an affordable emergency dentist in Houston isn’t just about urgent care; prevention plays a big role, too.
- Regular dental checkups help identify small issues before they develop into more serious problems.
- Mouthguards for sports protect children and adults from broken or knocked-out teeth during physical activities.
- Good oral hygiene habits, such as daily brushing, flossing, teeth cleaning and a healthy diet, help keep teeth strong and less prone to emergencies.
For families without insurance, our Membership Plan makes preventive and emergency care more affordable, allowing you to stay up-to-date with regular checkups and treatments throughout the year.
Why Families in Houston Trust Us for Emergency Dental Care

When a dental emergency happens, families across Houston rely on Charm Dental Care for quick, compassionate treatment. We’ve built trust by combining expertise, convenience, and a welcoming environment.
- Multiple locations in Spring, Katy, Richmond, and Humble TX make care accessible wherever you live.
- Same-day and after-hours emergency services ensure you don’t have to wait in pain.
- Experienced dentists for adults and kids provide skilled care in urgent situations.
- 2000+ 5-star reviews from Houston families highlight our commitment to patient satisfaction.
- Affordable care, including insurance plans acceptance and membership plans, helps families manage costs without stress.
- Modern technology and gentle techniques make treatment faster, safer, and more comfortable.
- Family-friendly clinics with a welcoming staff help reduce anxiety for both children and adults.
- Easy scheduling with flexible options, you can book an appointment online in minutes.

You Might Also Like
- Top 7 Indicators That You Have a Dental Emergency
- What Is Considered a Dental Emergency?
- Helpful Tips to Find an Emergency Dentist
Conclusion
Dental emergencies are stressful, but knowing what to do and where to go makes all the difference. From toothaches and broken teeth to abscesses and knocked-out teeth, fast action can save your smile. At Charm Dental Care, we provide same-day appointments, flexible payment options, and compassionate treatment for patients of all ages. With convenient locations in Spring, Katy, Richmond, and Humble, expert help is always nearby. If you are searching for a trusted emergency dentist in Houston, TX, contact Charm Dental today to get the care you need without delay.
FAQs
Q1. What Counts As A True Dental Emergency?
Severe pain, swelling, bleeding, knocked-out teeth, broken teeth, or infections all qualify as true dental emergencies.
Q2. Can I Go To The ER For A Dental Emergency In Houston?
Yes, if there is heavy bleeding, facial trauma, or a life-threatening situation. For most dental problems, it’s best to see an emergency dentist.
Q3. How Do I Find A 24-Hour Emergency Dentist In Houston?
Search for “24-hour emergency dentist Houston” or call local clinics. Some dentists, like Charm Dental Care, offer after-hours support and same-day appointments.
Q4. What Should I Do If My Child Knocks Out A Tooth?
Pick up the tooth by the crown, rinse it gently, and then place it back in the socket or in a container of milk. Call an emergency dentist immediately.
Q5. How Much Does Emergency Dental Care Cost In Houston?
Costs vary depending on the treatment. Charm Dental Care accepts insurance, offers affordable payment plans, and provides special offers to make care accessible.
Q6. Can I Get A Same-Day Dental Appointment For An Emergency?
Yes. Many clinics, including Charm Dental Care, provide same-day emergency appointments.
Q7. What Temporary Relief Options Are Safe Until I See A Dentist?
Use a cold compress to reduce swelling and consider over-the-counter pain relief medication. Avoid placing aspirin directly on the gums.
Q8. Are Dental X-Rays Safe During An Emergency Visit?
Yes. Modern dental X-rays use very low radiation and are safe for both adults and children.
Q9. Do Houston Emergency Dentists Accept Insurance Or Payment Plans?
Yes. Charm Dental Care accepts most dental insurance and also has flexible payment and membership plans for uninsured patients.
Q10. How Can I Avoid Dental Emergencies In The Future?
Schedule regular checkups, use mouthguards during sports, and practice good oral hygiene daily.


















